4 motive pentru care sa porti aparat dentar inainte de inserarea implanturilor

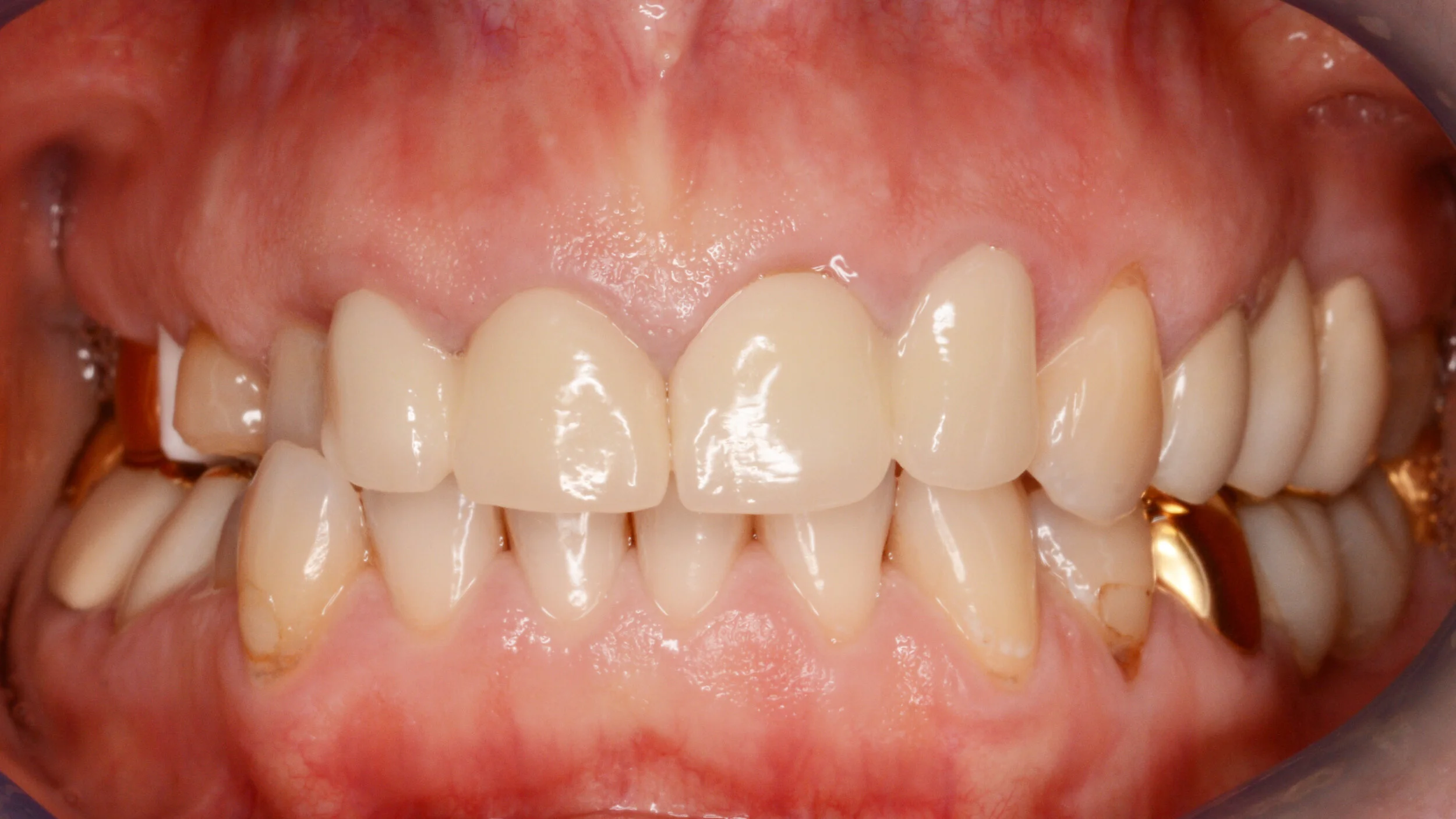
In urma pierderii dintilor, daca acestia nu sunt inlocuiti la timp (cat mai repede) prin intermediul unor lucrari fixe sau proteze, dintii de langa spatiul ramas sufera inclinari, basculari sau migrari dentare. 

Drept urmare pacientii trebuie sa urmeze un tratament la medicul specialist ortodont pentru indreptarea dintilor si recastigarea spatiului pierdut.


1. Migrarea dintilor antagonisti : dintii care ar urma sa muste pe viitoarea coroana pe implant au urcat / coborat atat de mult, incat nu mai exista suficient spatiu sa putem insera o lucrare protetica (coroana) pe implant. 

 
2 before.jpg
2 after.jpg
 
 
3 before.jpg
3 after.jpg
 

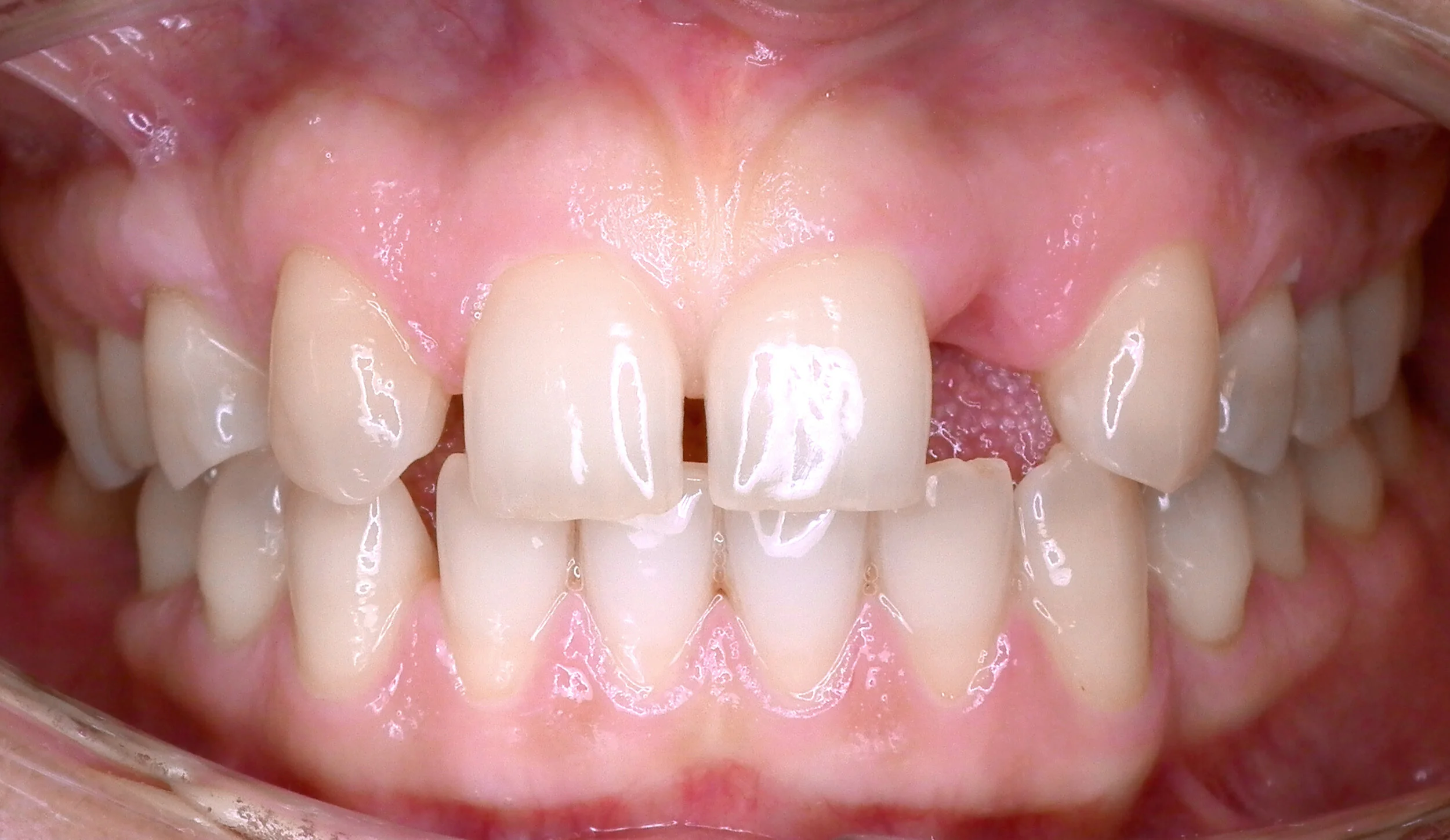
2. Inclinarea dintilor vecini : in urma extractiei dentare dintele din fata si din spatele spatiului ramas se inclina unul spre celalalt. Astfel pot aparea mai multe probleme:

- nu exista suficient spatiu pentru inserarea unui implant

- chiar daca s-ar putea insera implantul, coroana care se va face pe acesta va fi un esec din punct de vedere estetic

- trauma ocluzala (dintii inclinati nu mai primesc forte in axul lor, asa cum ar trebui) si accesul dificil pentru o igienizare corecta din cauza inclinarii determina in timp afectiuni parodontale.

 
2.jpg
3.jpg
Coroana.jpg

3. Reimpartirea ortodontica a spatiilor : exista situatii in care, unii dinti lipsesc din cauza faptului ca nu a existat niciodata mugurele din care acestia se dezvolta. Acest lucru determina de obicei migrarea tuturor dintilor cu aparitia unor spatii aleatorii la nivelul arcadelor dentare. Recalibrarea acestor spatii face ca rezultatul estetic final sa fie unul optim.  

AFTER.jpg
Rx implnt 22.jpg
Rx implant 12.jpg

4. Implantul dentar trebuie inserat corect in functie de pozitia viitoarei coroane pe care o va sustine. Intr-un caz cu anomalii dento-maxilare ce necesita oricum tratament ortodontic, inserarea implanturilor se face cat mai aproape de final, cand dintii de langa spatiul ramas nu vor mai fi miscati.  

Rx inainte.jpg
2 After.jpg
Rx dupa.jpg







Previous
Previous

4 motive pentru care tratamentul parodontal este OBLIGATORIU inaintea inlocuirii dintilor pierduti

Next
Next

3 motive pentru care sa alegi factorii de crestere