4 motive pentru care tratamentul parodontal este OBLIGATORIU inaintea inlocuirii dintilor pierduti

Cauza pierderii dintilor poate fi una din cele 2 boli care ii afecteaza: caria sau boala parodontala.

Cand un dinte se pierde printr-un proces carios profund, tesuturile de sustinere ale dintelui raman integre sau sunt foarte putin afectate. Acest lucru este benefic pentru inserarea ulterioara a unui implant, deoarece osul alveolar (in care trebuie inserat implantul) este, de cele mai multe ori prezent.

Boala parodontala afecteaza tesuturile de sustinere ale dintelui: gingia, ligamentele si osul alveolar. Acestea sunt distruse de catre bacterii si astfel dintii devin mobili si se pierd. Distructiile osoase cauzate de boala parodontala duc, de cele mai multe ori, la necesitatea operatiilor de augmentare osoasa (marire de os) pentru a putea insera ulterior implanturi dentare.

1. Primul motiv pentru care boala parodontala trebuie tratata inainte de inlocuirea dintilor pierduti este importanta salvarii dintilor ramasi. Daca nu se face tratament parodontal, cu siguranta se vor pierde si acestia.

 
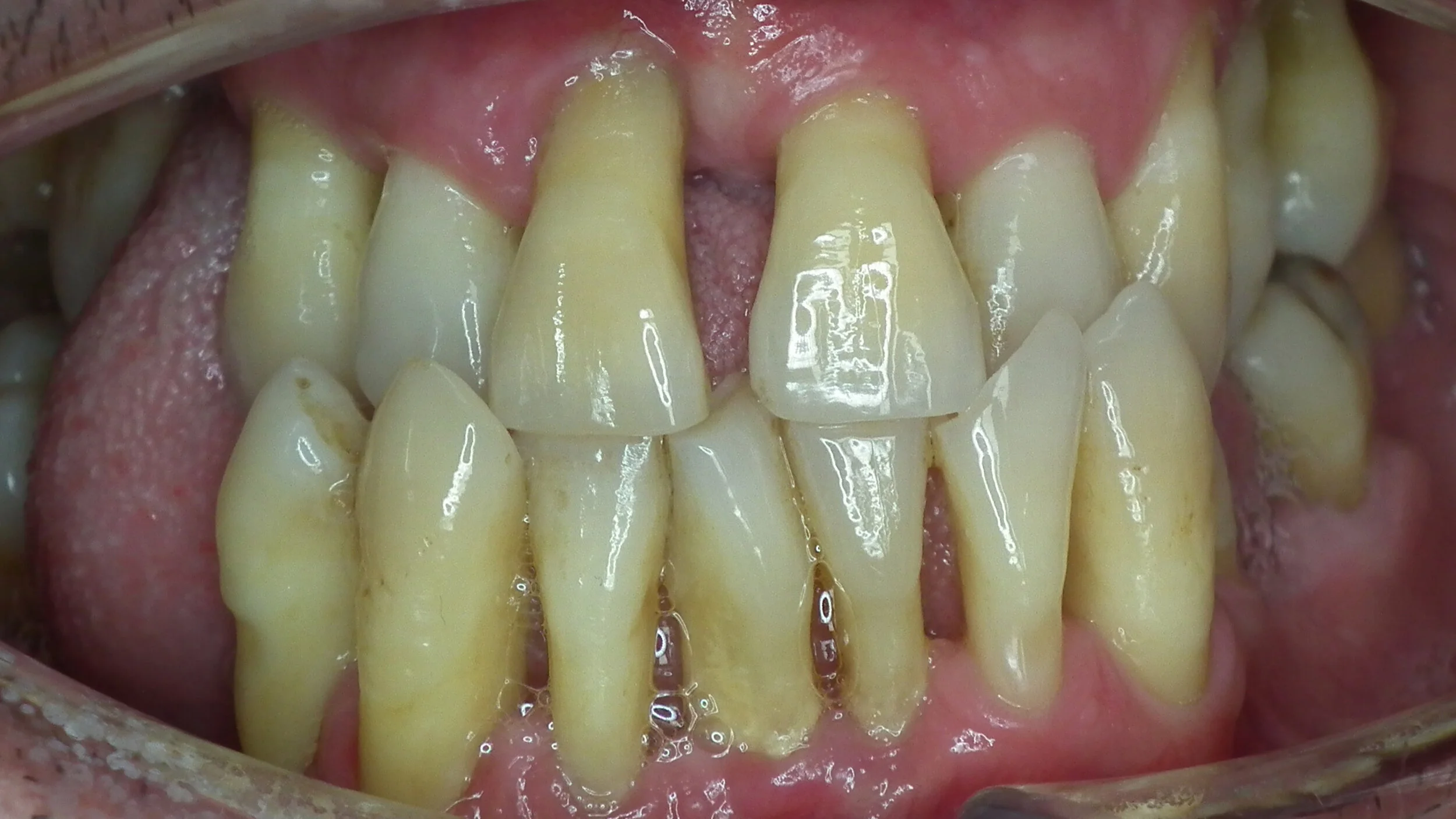
1 Before.jpg
 
 
4 After paro a.jpg
 
 
5b After lucrare.jpg
 

2. Implantul este un corp strain inserat in organism. Prima regula ca o astfel de operatie sa fie un succes este ca mediul in care este inserat (cavitatea orala) sa fie un mediu cat mai curat. Degeaba este implantul steril, daca se insera intr-o cavitate orala plina de microbi. Acestia vor determina inflamarea gingiei si ulterior pierderea osului din jurul implantului ducand, intr-un final,  la pierderea acestuia (= PERIIMPLANTITA).

De aceea, pentru succesul implanturilor pe termen lung, pacientii trebuie sa treaca printr-o etapa de asanare (curatare) a cavitatii orale, ce implica: extractia dintilor irecuperabili, tratament parodontal, rezolvarea proceselor carioase si a infectiilor endodontice inainte de interventia chirurgicala de inserare a implanturilor.

DSCF9594a.jpg
DSCF4746 (2).jpg

3. Flora microbiana parodontala este o flora foarte agresiva care, daca nu este indepartata corespunzator, poate duce la complicatii infectioase post-operatorii (mai ales in cazul operatiilor de augmentare osoasa). 

4. Tesuturile trebuie sa fie curate si stabile in momentul in care se face o lucrare protetica, de aceea tratamentul parodontal trebuie facut inainte de efectuarea lucrarii. Daca nu se face tratamentul parodontal, dintii de sub lucrarea respectiva (oricat de bine ar fi facuta) se vor pierde in scurt timp.

Daca se face dupa cimentarea lucrarii, in urma tratamentului parodontal aceasta va ramane scurta si necorespunzatoare si va trebui inlocuita ulterior. 

De aceea, cand sunt cazuri in care nu se poate sta fara, apare necesitatea efectuarii unor lucrari provizorii pe parcursul tratamentelor, pentru restabilirea, macar partial, a esteticii si a functiei masticatorii.

Before dinti.jpg
After Tratament parodontal si lucrari provizorii 1.jpg
Previous
Previous

5 lucruri putin cunoscute despre rezectia apicala

Next
Next

4 motive pentru care sa porti aparat dentar inainte de inserarea implanturilor