Extractia in scop ortodontic – un rau necesar

Tratamentele ortodontice contemporane se fac dupa reguli bine trasate, in functie de masuratori precise facute de medicul ortodont. Planul de tratament se face dupa întocmirea unui dosar ortodontic, care include mai multe investigatii. In urma analizarii atente a acestui dosar, medicul hotaraște ce trebuie facut pentru a putea alinia dintii si a crea o muscatura corecta si stabila la finalul tratamentului.

Sunt multe cazuri în care, datorita lipsei de spatiu la nivel osos, medicul ortodont are nevoie de ajutorul medicului chirurg pentru finalizarea corecta a tratamentului, prin manopere chirurgicale ajutatoare tratamentului ortodontic cum sunt chirurgia ortognata sau extractia in scop ortodontic.

Cazurile care prezinta dinti foarte înghesuiti pot presupune extractia unor dinti sanatosi de pe arcada, datorita faptului ca osul maxilar nu este suficient de dezvoltat sau voluminos incât sa cuprinda toti dintii, ceea ce duce la inghesuiri severe. Daca medicul ortodont încearca sa alinieze toti acești dinti intr-un volum osos insuficient, singurul lucru pe care îl va face este sa mute dintii inafara suportului osos, cu efecte negative grave cum sunt recesiile gingivale, mobilitatea dentara sau chiar pierderea mai multor dinti. Acesta este cel mai important motiv pentru care sunt necesare extractiile in scop ortodontic: spatiul creat prin extractia unor dinti este folosit pentru alinierea celorlalti, care sunt înghesuiti. Spatiile ramase in urma extractiilor se vor inchide, ele vor fi prezente doar o perioada in cursul tratamentului ortodontic.

 
1.jpg
 

Un alt motiv pentru efectuarea extractiilor in scop ortodontic este crearea unei muscaturi corecte si stabile pe termen lung, ceea ce va mentine si sanatatea articulatiei temporo-mandibulare. In acest sens , in unele cazuri este nevoie de efectuarea unor extractii la una sau chiar la ambele arcade, pentru a putea compensa anomalia anatomica a pacientului.

 
2.jpg
 

Decizia de extracție in scop ortodontic NU DEPINDE de tehnica ortodontica folosita, ci de ANATOMIA PACIENTULUI și de MASURATORI PRECISE făcute la fiecare caz in parte. 

Va prezentam mai jos care pot fi urmarile unor tratamente ortodontice care nu au luat in considerare aceste criterii.

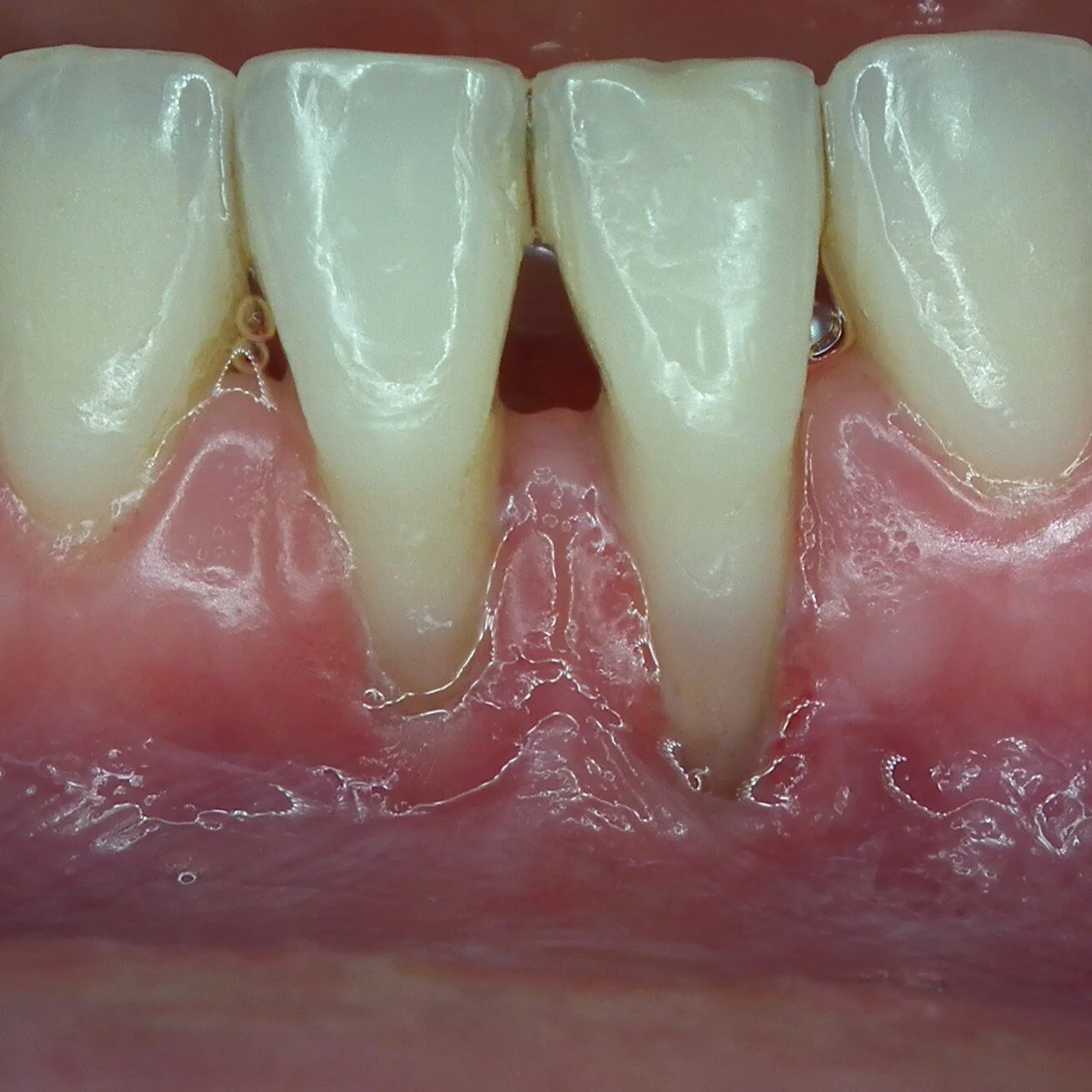
3.JPG
4.jpg

Poze a unor pacienti care au urmat tratamente ortodontice in trecut (nu in clinica noastra) si s-au prezentat la consult pentru rezolvarea acestora prin grefe gingivale.

5.JPG

Poza a unui pacient care a urmat tratament ortodontic (nu in clinica noastra) si s-a prezentat la consult pentru implant, dar ar avea indicatie de retratament ortodontic din cauza muscaturii incorecte, care in timp poate duce la probleme articulare.

Previous
Previous

Mentinatorul de spatiu

Next
Next

7 motive pentru care tratamentele dentare moderne se fac cu diga